Skip to content ↓

In the Media

Media Outlet:
Forbes
Publication Date:
Description:

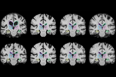
In an article for Forbes about how AI could improve healthcare, Bernard Marr highlights an algorithm developed by MIT researchers that can analyze 3-D scans up to 1,000 times faster than is currently possible. “When saving minutes can mean saving lives, AI and machine learning can be transformative,” writes Marr.

Related News