Neurons receive precisely tailored teaching signals as we learn
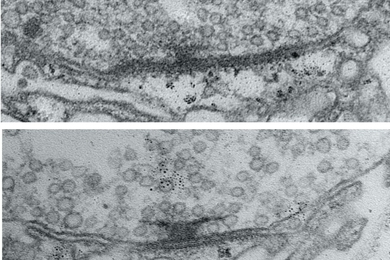
New work suggests the brain can deliver neuron-specific feedback during learning — resembling the error signals that drive machine learning.
New work suggests the brain can deliver neuron-specific feedback during learning — resembling the error signals that drive machine learning.
Offering substantial prize funding alongside workshops, classes, and mentorship, the initiative helps translate early-stage biotech research into venture-ready innovation.
Researchers find mice modeling the autism spectrum disorder fragile X syndrome exhibit the same pattern of differences in low-frequency waves as humans — a new marker for treatment studies.
Annual award honors early-career researchers for creativity, innovation, and research accomplishments.
Opening a new window on the brainstem, a new tool reliably and finely resolves distinct nerve bundles in live diffusion MRI scans, revealing signs of injury or disease.
Researchers find a component of the brain’s dedicated language network in the cerebellum, a region better known for coordinating movement.
Somatostatin-expressing neurons follow a unique trajectory when forming connections in the visual cortex that may help establish the conditions needed for sensory experience to refine circuits.
A new book by Professor Ted Gibson brings together his years of teaching and research to detail the rules of how words combine.
New “biomimetic” model of brain circuits and function at multiple scales produced naturalistic dynamics and learning, and even identified curious behavior by some neurons.
MIT researchers tested their theory of spatial computing, which holds that the brain recruits and controls ad hoc groups of neurons for cognitive tasks by applying brain waves to patches of the cortex.
With support from the Siegel Family Endowment, the newly renamed MIT Siegel Family Quest for Intelligence investigates how brains produce intelligence and how it can be replicated to solve problems.
The program recognizes outstanding mentorship of graduate students.
Time and again, an unassuming roundworm has illuminated aspects of biology with major consequences for human health.
Research illustrates how areas within the brain’s executive control center tailor messages in specific circuits with other brain regions to influence them with information about behavior and feelings.
The AI-powered tool could inform the design of better sensors and cameras for robots or autonomous vehicles.