Skip to content ↓

In the Media

Media Outlet:
Nature
Publication Date:
Description:

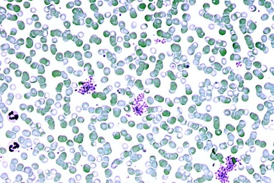
Nicole Skinner writes for Nature about how MIT researchers have developed a new technique to test for malaria. The new method only requires a tiny droplet of blood to check for malaria and can provide a diagnosis within minutes. 

Related News