Toward visible-light-based imaging for medical devices, autonomous vehicles
System accounts for the deflection of light particles passing through animal tissue or fog.
System accounts for the deflection of light particles passing through animal tissue or fog.
Imaging scientist and inventor sets sights on launching peer-to-peer invention platforms for global impact.
New computational imaging method identifies letters printed on first nine pages of a stack of paper.
New technique can reveal subcellular details and long-range connections.
New imaging system uses an open-ended bundle of optical fibers — no lenses, protective housing needed.
Instrument scans images 2,000 times faster than commercial models.
New technique could contribute to efforts to map the human brain.
Technique for mobile image processing in the cloud cuts bandwidth use by more than 98 percent.
Optical Society honors pioneering work on high-performance terahertz quantum-cascade lasers.
The Association for Computer Machinery cites Devadas, Grimson, Morris, Rubinfeld, and Rus as having "provided key knowledge" to computing.
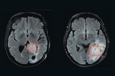
Nanoparticles that enable both MRI and fluorescent imaging could monitor cancer, other diseases.
Algorithm recovers speech from the vibrations of a potato-chip bag filmed through soundproof glass.
The McGovern Institute for Brain Research installs new 3-tesla MRI scanner for human neuroimaging
A new technique enables the conversion of an ordinary camera into a light-field camera capable of recording high-resolution, multiperspective images.
MIT researchers are designing tools to analyze cells at the microscale.