MIT events illuminate critical need for menstruation science
“AI for endometriosis? If only there were data!”
“AI for endometriosis? If only there were data!”
Family’s health trauma translates into mission to solve a chronic health problem suffered by more than a million Americans.
Women’s health advocate, Top Chef host and executive producer, and MIT visiting scholar Padma Lakshmi tours campus, speaks on endometriosis.
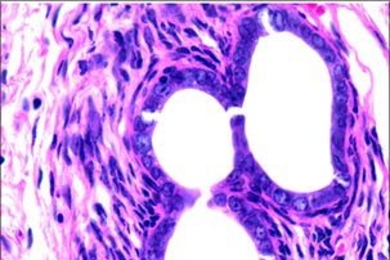
New analysis of endometriosis patients could help scientists develop better treatments and more revealing diagnoses.
Linda Griffith combines in vitro models with deep molecular analysis to accelerate drug discovery.
New synthetic surfaces overcome challenges posed by existing methods for cultivating stem cells.
Actress Padma Lakshmi comes to MIT to raise awareness of endometriosis and help launch the new Center for Gynepathology.
Biological engineering professor Linda Griffith launches a new center to study endometriosis and other gynecological diseases.