Improving sanitation for the world’s most vulnerable people
With deep roots at MIT, the startup change:WATER Labs has created a toilet that treats waste without water or power.
With deep roots at MIT, the startup change:WATER Labs has created a toilet that treats waste without water or power.
Trained dogs can detect cancer and other diseases by smell. A miniaturized detector can analyze trace molecules to mimic the process.
Researchers develop a system to identify drugs that might be repurposed to fight the coronavirus in elderly patients.
Pison, founded by Dexter Ang ’05, enables people to control digital interfaces, such as their phones, through brain signals.
Scalable CRISPRi system from SMART allows scientists to identify and tackle causes of E. faecalis-related diseases and drug resistance.
Case’s new lab investigates why cancer arises when disruptions in cellular organization change how cells sense mechanical forces.
“Organs-on-a-chip” system sheds light on how bacteria in the human digestive tract may influence neurological diseases.
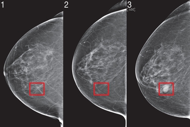
Researchers created a risk-assessment algorithm that shows consistent performance across datasets from US, Europe, and Asia.
Structural biologist Pamela Björkman shared insights into pandemic viruses as part of the Department of Biology’s IAP seminar series.
MIT mechanical engineers have developed technologies to help hospitals around the world provide life-saving oxygen to patients with Covid-19 and other respiratory illnesses.
A diverse group of researchers is working to turn new discoveries about the trillions of microbes in the body into treatments for a range of diseases.
Family’s health trauma translates into mission to solve a chronic health problem suffered by more than a million Americans.
A key finding: Early reopening last spring led to a dramatic drop in “quarantine strength” in southern and west-central U.S. states.
The discovery can help to cure bacterial infections without inducing resistance or causing harm to good bacteria.
Opioid receptor MOR1 changes discovered in neurodegenerative disease model.