Team reports genetic link between aging, neurodegenerative disorders
Work could lead to new drugs against Alzheimer's, more
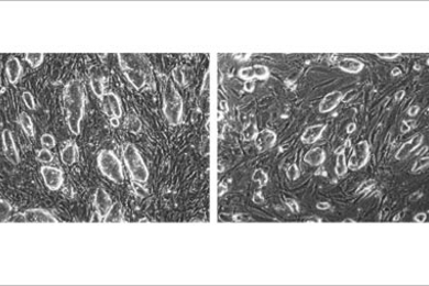
Team sheds light on cells' career path
Work could impact developmental biology, regenerative medicine
MIT locates key enzyme for reversing retardation in mice
'Elegant genetic manipulation' inhibits Fragile X symptoms
MIT biologists link calorie restriction, endocrine function in worm longevity
Identifying neurons advances MIT study of aging
Force, not light, gives researchers images of cell receptors
Technique could assist in the design and testing of new drug molecules
Scientists create embryonic stem cells without destroying embryos
Researchers are 'optimistic' that the process can one day work in human cells
MIT researchers probe bones' tiny building blocks
Team's results could lead to new composites that mimic bones' capacity to 'fail gracefully'