First-years learn fundamental principles by creating
Course 2.00a (Fundamentals of Engineering Design: Explore Space, Sea and Earth) empowers first-year students to build machines early in their academic careers.
Designing humanity’s future in space
The Space Exploration Initiative’s latest research flight explores work and play in microgravity.
3 Questions: Dan Huttenlocher on the formation of the MIT Schwarzman College of Computing
The inaugural dean shares an update on the process of building a college.
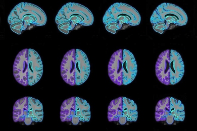
Producing better guides for medical-image analysis
Model quickly generates brain scan templates that represent a given patient population.
Six MIT faculty elected 2019 AAAS Fellows
Baggeroer, Flynn, Harris, Klopfer, Lauffenburger, and Leonard are recognized for their efforts to advance science.
Coated seeds may enable agriculture on marginal lands
A specialized silk covering could protect seeds from salinity while also providing fertilizer-generating microbes.
Smart systems for semiconductor manufacturing
Lam Research Tech Symposium, co-hosted by MIT.nano and Microsystems Technology Lab, explores challenges, opportunities for the future of the industry.
Interdisciplinary team takes top prize in Mars colony design competition
MIT PhD student George Lordos and his brother Alexandros led the project; goal of the Mars Society competition was to establish a colony on Mars for 1,000 residents.
MIT art installation aims to empower a more discerning public
With “In Event of Moon Disaster,” the MIT Center for Advanced Virtuality aims to educate the public on deepfakes with an alternative history of the moon landing.
Five MIT students named 2020 Rhodes Scholars
Ali Daher, Claire Halloran, Francisca Vasconcelos, Billy Andersen Woltz, and Megan Yamoah will begin postgraduate studies at Oxford University next fall.
Clear, conductive coating could protect advanced solar cells, touch screens
New material should be relatively easy to produce at an industrial scale, researchers say.
Forum addresses future of civil and environmental engineering education
Academic leaders cite urgent need to expand, enhance curriculum to address societal challenges.
How to design and control robots with stretchy, flexible bodies
Optimizing soft robots to perform specific tasks is a huge computational problem, but a new model can help.
Exploring the human side of health care
Senior and “people person” Adedoyin Olateru-Olagbegi brings a human touch to caring for people dealing with medical crises.