Skip to content ↓

In the Media

Media Outlet:
HealthDay News
Publication Date:
Description:

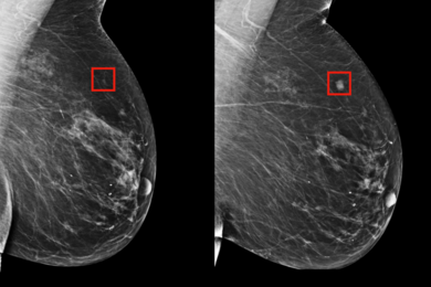
HealthDay News reporter Amy Norton writes that MIT researchers have developed an AI system that can help predict a woman’s risk of developing breast cancer and provide more personalized care. “If you know a woman is at high risk, maybe she can be screened more frequently, or be screened using MRI,” explains graduate student Adam Yala.

Related News