Detecting dengue, Zika, and chikangunya within minutes
MIT spinoff is changing the way mosquito-borne illnesses are diagnosed and aims to influence how public health officials react to disease outbreaks.
MIT spinoff is changing the way mosquito-borne illnesses are diagnosed and aims to influence how public health officials react to disease outbreaks.
Model predicts whether ER patients suffering from sepsis urgently need a change in therapy.
Simple method for linking molecules could help overcome drug resistant infections.
Startup SQZ Biotech aims to open a new path in immunotherapy with its cell-compressing technique.
Smartphone app developed by Emily Lindemer PhD '17 uses social contacts and location information to give gentle reminders for staying engaged with recovery.
Neural network that securely finds potential drugs could encourage large-scale pooling of sensitive data.
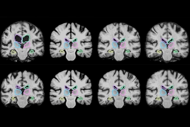
Deep-learning model has been used successfully on patients, may lead to more consistent screening procedures.
Natural killer cells’ failure to respond to infection may explain why the disease is more grave in some patients.
A principled approach can lead to less need for drugs, especially opioids, Emery Brown and colleagues say.
System can be rapidly reconfigured to produce a variety of protein drugs.
A key part of the MIT Quest for Intelligence, J-Clinic builds on MIT expertise across multiple scientific disciplines.
Three MIT postdocs earn competitive Howard Hughes Medical Institute fellowships that support diversity in the sciences.
Machine-learning system determines the fewest, smallest doses that could still shrink brain tumors.
Hydrogen peroxide-sensing molecule reveals whether chemotherapy drugs are having their intended effects.
With new method, surgeons would remove tumor, then implant microparticles that attack remaining cancer cells.