Biologists find clues to a parasite’s inconsistency
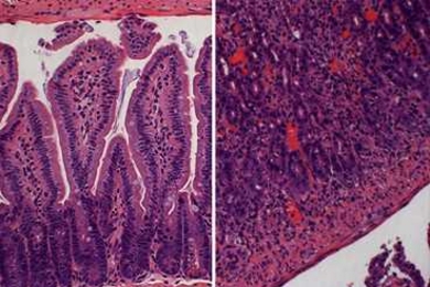
Certain strains of Toxoplasma provoke inflammation that can damage host cells, while others are harmless.
Certain strains of Toxoplasma provoke inflammation that can damage host cells, while others are harmless.
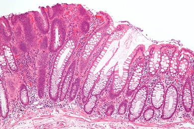
Findings may help predict colon cancer risk for patients with inflammatory bowel disease.
New MIT study offers comprehensive look at chemical and genetic changes that occur as inflammation progresses to cancer.
A new way to curb inflammatory cells could lead to treatments for diseases including atherosclerosis and cancer.
MIT researchers show how estrogen protects women from the gastric inflammation that can lead to cancer.
New discovery reveals why some forms of Toxoplasma are more dangerous than others.
Biologist Jeroen Saeij shows why some strains of Toxoplasma are more dangerous than others.