Could acid-neutralizing life-forms make habitable pockets in Venus’ clouds? A new study shows it’s theoretically possible. The hypothesis could be tested soon with proposed Venus-bound missions. December 20, 2021 Read full story →
Sensor based on quantum physics could detect SARS-CoV-2 virus Mathematical simulations show the new approach may offer faster, cheaper, and more accurate detection, including identifying new variants. December 20, 2021 Read full story →
Illuminating the history and global story of antibiotics HASTS PhD student Rijul Kochhar tracks changing medical and microbial realities, and examines what they portend for society. December 19, 2021 Read full story →
Perfecting pitch perception Computational modeling shows that both our ears and our environment influence how we hear. December 17, 2021 Read full story →
Adding depth to the popular discussion of transgender rights Professor Edward Schiappa’s new book carefully surveys recent public debates about a vital societal issue. December 17, 2021 Read full story →
3 Questions: Kristin Knouse on the liver’s regenerative capabilities The clinically-trained cell biologist exploits the liver’s unique capacities in search of new medical applications. December 15, 2021 Read full story →
From counting blood cells to motion capture, sensors drive patient-centered research SENSE.nano symposium highlights the importance of sensing technologies in medical studies. December 15, 2021 Read full story →
David Li wins 2022 Marshall Scholarship The MIT senior will pursue graduate studies in the U.K., at Cambridge and Oxford universities. December 13, 2021 Read full story →
“Newer, nimbler, faster:” Venus probe will search for signs of life in clouds of sulfuric acid Report led by MIT scientists details a suite of privately-funded missions to hunt for life on Earth's sibling planet. December 10, 2021 Read full story →
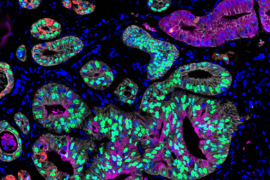
Measuring cancer cell state can reveal drug susceptibility Study results also show that pancreatic tumor cells can be forced into a more susceptible state by changing their environment. December 9, 2021 Read full story →
Tiny machine learning design alleviates a bottleneck in memory usage on internet-of-things devices New technique applied to small computer chips enables efficient vision and detection algorithms without internet connectivity. December 8, 2021 Read full story →
NASA selects three MIT alumni for astronaut training Marcos Berríos ’06, Christina Birch PhD ’15, and Christopher Williams PhD ’12 make up a third of the 2021 NASA astronaut candidate class. December 7, 2021 Read full story →
Study reveals a protein’s key contribution to heterogeneity of neurons Tomosyn’s tight regulation of neurotransmitter release distinguishes functions of two neuron classes at the fly neuromuscular junction. December 7, 2021 Read full story →
Making her way through MIT Graduate student Lucy Du designs novel prosthetics and seeks to inspire others to pursue engineering. December 7, 2021 Read full story →
Six MIT students named 2023 Schwarzman Scholars Sihao Huang, William Kuhl, Tingyu Li, Giramnah Peña-Alcántara, Sreya Vangara, and Kelly Wu will pursue graduate studies in global affairs at Tsinghua University in Beijing. December 6, 2021 Read full story →