Implantable islet cells could control diabetes without insulin injections
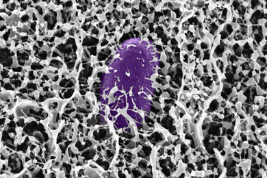
The cells can survive in the body for at least three months, producing enough insulin to control blood sugar levels, research shows.
The cells can survive in the body for at least three months, producing enough insulin to control blood sugar levels, research shows.
A backup survival pathway can help tumor cells resist certain lung cancer and other drugs. Combining therapies may offer a solution.
Discovering this common mechanism could lead to a universal anesthesia-delivery system to monitor patients more effectively.
By showing the problem derives from genetic mutations that lead to overexpression of a microRNA, MIT researchers’ study points to potential treatment.
Using a computational model, neuroscientists showed how the brain can selectively focus attention on one voice among others in a noisy environment.
The engineered tissue grafts could take on the liver’s function and help thousands of people with liver failure.
By providing holistic information on a cell, an AI-driven method could help scientists better understand disease mechanisms and plan experiments.
Researchers find mice modeling the autism spectrum disorder fragile X syndrome exhibit the same pattern of differences in low-frequency waves as humans — a new marker for treatment studies.
Opening a new window on the brainstem, a new tool reliably and finely resolves distinct nerve bundles in live diffusion MRI scans, revealing signs of injury or disease.
Based on a virus-like particle built with a DNA scaffold, the approach could generate broadly neutralizing antibody responses against HIV or influenza.
Two models more accurately replicate the physiology of the liver, offering a new way to test treatments for fat buildup.
Somatostatin-expressing neurons follow a unique trajectory when forming connections in the visual cortex that may help establish the conditions needed for sensory experience to refine circuits.
Learning more about this structure could help scientists find ways to block Tau from forming tangles in the brain of Alzheimer’s patients.
The protein, known as intelectin-2, also helps to strengthen the mucus barrier lining the digestive tract.
New research suggests liver cells exposed to too much fat revert to an immature state that is more susceptible to cancer-causing mutations.