3 Questions: Emery Brown on improving anesthesia with neuroscience
Professor describes a new research center he is working to develop where researchers will seek to improve patient care by integrating neuroscience and anesthesiology.
Download RSS feed: News Articles / In the Media / Audio
Professor describes a new research center he is working to develop where researchers will seek to improve patient care by integrating neuroscience and anesthesiology.
A new methodology simulates counterfactual, time-varying, and dynamic treatment strategies, allowing doctors to choose the best course of action.
A new deep-learning algorithm trained to optimize doses of propofol to maintain unconsciousness during general anesthesia could augment patient monitoring.
In stepping down as co-director of the Harvard-MIT Program in Health Sciences and Technology, Brown will work to develop a new center for anesthesiology research.
Assistant Professor Marzyeh Ghassemi explores how hidden biases in medical data could compromise artificial intelligence approaches.
Researchers have created a method to help workers collaborate with artificial intelligence systems.
The physician, scientist, and professor has made influential contributions to the Harvard-MIT Program in Health Sciences and Technology since it began 50 years ago.
SENSE.nano symposium highlights the importance of sensing technologies in medical studies.
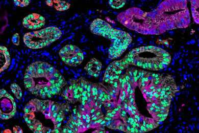
Study results also show that pancreatic tumor cells can be forced into a more susceptible state by changing their environment.
Nine MIT researchers selected as finalists for 2021 prize supported by Northpond Ventures; grand prize winner to receive $250K toward commercializing her human health-related invention.
The prevalence of auditory symptoms in Covid-19 patients is unknown, but infection of the inner ears may be responsible for hearing and balance problems.
A new RNA-based control switch could be used to trigger production of therapeutic proteins to treat cancer or other diseases.
APS names Bourouiba, Grego, Liu, Peacock, Winslow, and Yildiz as MIT’s newest fellows for their contributions to physics.
An AI-enhanced system enables doctors to spend less time searching for clinical information and more time treating patients.
Neuroscientists at MIT and Massachusetts General Hospital develop a statistical framework that describes brain-state changes patients experience under ketamine-induced anesthesia.