Samuels receives the Order of the Rising Sun, Gold and Silver Star
Japanese government honors political scientist for significant contributions to scholarship and promoting friendly relations.
Making a Nobel-winning chemistry reaction even better
New catalyst offers greater control over the synthesis of organic cyclic compounds, including potential cancer drugs.
Exploring the inner workings of materials
From concrete to cancer cells, Van Vliet brings an engineer’s mindset to the study of biology and materials.
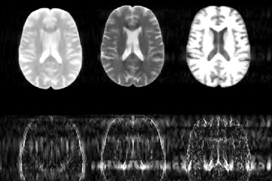
New algorithm could substantially speed up MRI scans
Faster scans could reduce the time patients spend in the machine from 45 to 15 minutes.
Robert Silbey, former MIT dean of science, dies at 71
'Excellent teacher' spent 45 years as faculty member, administrator.
How to get the message across on climate change
As the science of climate change gets clearer, the public gets more confused. Are there ways to fix that?
3 Questions: Ricardo Caballero on the search for safe investments
Economist believes structural problem underlying financial crisis is ‘worse than ever’
International Open Access Week is October 24-30
MIT celebrates efforts to increase access to research and scholarship worldwide.
Jaenisch receives Medal of Science at White House ceremony
Among 12 honored by President Barack Obama on Friday.
What’s next for engineering education?
Dean of Engineering to share his views on engineering education in the face of increasing need for innovative technical leaders.