AIAA honors David Mindell for ‘Digital Apollo’
MIT professor’s book earns Gardner-Lasser Aerospace History Literature Award.
MIT professor’s book earns Gardner-Lasser Aerospace History Literature Award.
MIT Professor Fiona Murray produces concrete guidelines on designing and executing Grand Innovation Prizes.
Men’s basketball opens conference play with victory; Faculty Athletics Rep. Hank Smith honored by NFF
MIT Professor Harold Edgerton’s high-speed photography and sonar devices revolutionized ocean exploration.
Michael Artin and Robert Langer honored for groundbreaking work in mathematics and chemistry.
Scalable nanopatterned surfaces designed by MIT researchers could make for more efficient power generation and desalination.
MIT development economist nominated for presidential policy council.
New method allows scientists to insert multiple genes in specific locations, delete defective genes.
Deadline for applications is February 28.
Two essential proteins regulate the molecular machinery that controls neuronal communication and the release of signals between neurons.
Nick Montfort and colleagues examine cultural significance of computer code in new book.
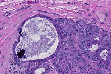
Kamm is studying the mechanics of metastasis, the process of cancer-cell migration from one location in the body to another and the cause of more than 90 percent of cancer deaths.
New spectroscopy technique could help doctors better identify breast tumors.
Two MIT professors are awarded the National Medal of Science and the National Medal of Technology and Innovation.
MIT geophysicist nominated for 25-member governing board of the National Science Foundation.