Aspiring physician explores the many levels of human health
During her time at MIT, senior Ayesha Ng’s interests have expanded from cellular biology to the social systems that shape public health.
During her time at MIT, senior Ayesha Ng’s interests have expanded from cellular biology to the social systems that shape public health.
Immuneering uses bioinformatics to develop new medicines while also helping large pharmaceutical companies improve their treatments.
Astrocytes with the APOE4 gene variant show deficits of a key cellular function, but overexpressing the gene PICALM overcame the defect.
MIT researchers pinpoint mechanism and demonstrate that drugs could help.
Reactivating an enzyme that promotes DNA repair can help to reverse age-related cognitive decline in mice.
At MIT, senior Tarun Kamath has explored neuroscience and science policy, while helping his peers find ways to reduce stress.
Neurologist and researcher Diane Chan pitches in to help New England get through tough times.
Li-Huei Tsai and Christopher Schuh recognized for research innovations addressing Alzheimer’s disease and metal mechanics.
Clumps of amyloid protein emerge early in deep regions, such as the mammillary body, and march outward in the brain along specific circuits.
Study finds that Alzheimer’s damage allows toxins to enter the brain, further harming neurons.
New research reveals a structural model for amyloid fibrils that could aid in future medicinal interventions for Alzheimer's, CTE, and more.
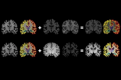
Researchers hope the system can zero in on the right patients to enroll in clinical trials, to speed discovery of drug treatments.
System helps machine-learning models glean training information for diagnosing and treating brain conditions.
New findings help explain the surprising discovery that exposure to flickering light reduces amyloid plaques in mice.
Analysis of genes altered by the disease could provide targets for new treatments.