New research shows attention lapses due to sleep deprivation coincide with a flushing of fluid from the brain — a process that normally occurs during sleep.
Professors Facundo Batista and Dina Katabi, along with three additional MIT alumni, are honored for their outstanding professional achievement and commitment to service.
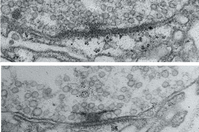
Scientists identified how circuit connections in fruit flies tune to the right size and degree of signal transmission capability. Understanding this could lead to a way to tweak abnormal signal transmission in certain disorders.
McRose, an environmental microbiologist, is recognized for researching the ecological roles of antibiotics in shaping ecosystems, agriculture, and health.
Their system uses electrochemically generated bubbles to detach cells from surfaces, which could accelerate the growth of carbon-absorbing algae and lifesaving cell therapies.