Skip to content ↓

In the Media

Media Outlet:
Boston Globe
Publication Date:
Description:

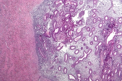
Boston Globe reporter Carolyn Johnson examines a study led by MIT bioengineer Linda Griffith. The study is a first step in providing a more informed way of classifying endometriosis a disease which Griffith herself suffers from.  

Related News