AI Cures: data-driven clinical solutions for Covid-19
MIT conference illustrates technologies developed in response to the pandemic and new opportunities for AI solutions for clinical management.
MIT conference illustrates technologies developed in response to the pandemic and new opportunities for AI solutions for clinical management.
Immuneering uses bioinformatics to develop new medicines while also helping large pharmaceutical companies improve their treatments.
An online symposium explores roles for research universities and outlines the Institute’s efforts to be a testbed for research and policy innovations.
Despite the disruption caused by the pandemic, MIT students have carved out meaningful hands-on experiences.
Computational method for screening drug compounds can help predict which ones will work best against tuberculosis or other diseases.
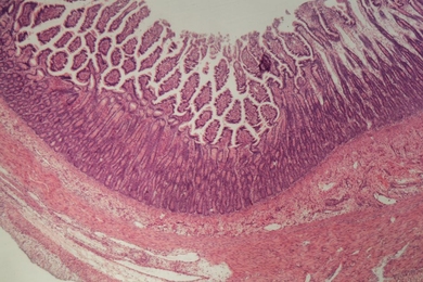
Study finds that compressing cells, and crowding their contents, can coax them to grow and divide.
Biological engineer discusses condensing the time taken to develop therapeutics down from many years to a matter of months.
Michael Birnbaum, Anders Hansen, and Tami Lieberman receive NIH Director’s New Innovator Awards from the NIH Common Fund’s High-Risk, High-Reward Research program.
MIT researchers find blocking the expression of the genes XPA and MK2 enhances the tumor-shrinking effects of platinum-based chemotherapies in p53-mutated cancers.
New technology cuts cell culture time by half and uses more targeted cell sorting and purification methods.
A CRISPR-based test developed at MIT and the Broad Institute can detect nearly as many cases as the standard Covid-19 diagnostic.
SMART researchers find exposing bacteria to hydrogen sulfide can increase antimicrobial sensitivity in bacteria that do not produce H2S.
Bacteria linked to Crohn’s disease are difficult to grow in the lab, but MIT engineers have found a way.
Fund has launched a special summer round to spearhead projects addressing mental health, well-being, and racial justice at MIT.
The experimental drug has shown promise in early-stage clinical trials conducted in Singapore.