Designing the future of metabolic health through tissue-selective drug delivery
Founded by three MIT alumni, Gensaic uses AI-guided protein design to deliver RNA and other therapeutic molecules to specific cells or areas of the body.
Founded by three MIT alumni, Gensaic uses AI-guided protein design to deliver RNA and other therapeutic molecules to specific cells or areas of the body.
Time and again, an unassuming roundworm has illuminated aspects of biology with major consequences for human health.
Stimulating the liver to produce some of the signals of the thymus can reverse age-related declines in T-cell populations and enhance response to vaccination.
Tracking how fruit fly motor neurons edit their RNA, neurobiologists cataloged hundreds of target sites and varying editing rates, finding many edits altered communication- and function-related proteins.
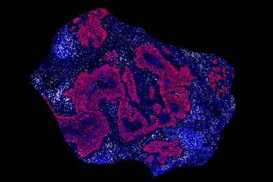
A study profiling antigens presented on immune and tumor cells in co-culture points to new strategies for attacking a treatment-resistant and deadly brain cancer.
Using these antigens, researchers plan to develop vaccine candidates that they hope would stimulate a strong immune response against the world’s deadliest pathogen.
The KATMAP model, developed by researchers in the Department of Biology, can predict alternative cell splicing, which allows cells to create endless diversity from the same sets of genetic blueprints.
MIT researchers show they can use messenger RNA to activate the pathway and trigger the immune system to attack tumors.
Advance from SMART will help to better identify disease markers and develop targeted therapies and personalized treatment for diseases such as cancer and antibiotic-resistant infection.
The longtime MIT professor and Nobel laureate was a globally respected researcher, academic leader, and science policy visionary who guided the careers of generations of scientists.
Researchers developed an approach to study where proteins get made, and characterized proteins produced near mitochondria, gaining potential insights into mitochondrial function and disease.
MIT engineers used a machine-learning model to design nanoparticles that can deliver RNA to cells more efficiently.
Researchers redesign a compact RNA-guided enzyme from bacteria, making it an efficient editor of human DNA.
Since an MIT team introduced expansion microscopy in 2015, the technique has powered the science behind kidney disease, plant seeds, the microbiome, Alzheimer’s, viruses, and more.
MIT biologists have found that defects in some transfer RNA molecules can lead to the formation of these common conditions.